El tratamiento que hemos realizado en nuestra clínica dental en Madrid y comentado en esta ocasión es la endodoncia de un premolar inferior 45 que constituía el pilar de una prótesis dental fija que llevaba colocada en boca unos 12 años según nos indicó el paciente.
el diagnóstico se estableció básicamente atendiendo a criterios radiográficos y la aparición unas semanas antes de la intervención de una celulitis o flemón  que fué tratado mediante la administración de un antibiótico una semana antes del tratamiento.
Para realizar este caso se indicó al paciente la necesidad de levantar dicha corona ya que la posibilidad de que se hubiese filtrado condicionaría el posterior éxito de tratamiento de conductos.
Así pues, una vez quitado el puente metal-porcelana que llevaba el paciente se pudo ver que el motivo de la necrosis pulpar  había sido la presencia de caries marginal en el muñón que afectó a la pulpa dental generando a largo plazo una pulpitis irreversible crónica que degeneró en una necrosis pulpar y finalmente periodontitis apical  con una imagen radiográfica asociada que sufrió las semanas antes del tratamiento una reagudización.
Tras la limpieza de la caries y apertura con fresa de bola de alta velocidad bajo visión microscópica se realizó la limpieza y preparación de conductos con instrumentación reciproca y la desinfección química del sistema de conductos mediante irrigantes quelantes e hipoclorito de sodio, activado en un protocolo final de irrigación mediante ultrasonidos.
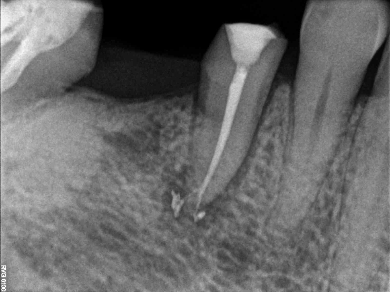
Finalmente  y tras el secado se procedió al sellado del único conducto radicular con cementos de resina de tipo epoxi y técnicas de obturación termoplástica. Así se pudo observar en el control radiográfico la presencia de un delta apical que quedó sellado mientras se realizaba la técnica de sellado del conducto principal como segunda intención y gracias a la aplicación de técnicas de irrigación que eliminan completamente el barrillo dentinario producido durante la preparación mecánica de conductos. 


 
